Diversidad celular del epitelio branquial de dos especies endémicas del género Corydoras que habitan ambientes con diferente salinidad

 

Cellular diversity of the branchial epithelium of two endemic species of the genus Corydoras inhabiting environments with different salinity

 

Rosa A. Cruz1, Roberto O. Sánchez1 & Virginia H. Martínez1,2

 

Resumen

Los pequeños bagres acorazados, Corydoras gladysae y Corydoras petracinii, son dos especies endémicas del noroeste argentino en la provincia de Salta, que viven en humedales del río Calchaquí y el río San Lorenzo respectivamente. Ambos ambientes difieren por su concentración salina, siendo muy alta en el río Calchaquí. Estudiamos las branquias de ambas especies, debido a que estos órganos son multifuncionales ya que además de realizar el intercambio gaseoso, llevan a cabo otra serie de funciones críticas como la ionorregulación y la mantención del balance ácido-base. Los órganos se procesaron con técnicas de rutina para histología y microscopía electrónica de barrido. La morfología de la branquia de ambas especies es característica para el género, con arcos branquiales anchos, filamentos gruesos y cortas laminillas respiratorias que responden a especies que respiran aire. El epitelio branquial presenta una gran diversidad celular: pavimentosas, clorideas, mucosa y neuroepiteliales; su distribución es muy definida en los filamentos branquiales. Las células clorideas responsables de la ionorregulación son particularmente más abundantes y grandes en C. gladysae, donde las aguas en las que habita registran concentraciones superiores a 1300 µS. Las diferencias en las células clorídeas entre las especies podría ser un carácter adaptativo a la mayor concentración de sales.

Palabras clave: branquias; células clorídeas; Corydoras; histología.

Abtract

The small armored catfish, Corydoras gladysae and Corydoras petracinii, are two endemic species of northwestern Argentina in the province of Salta, which live in wetlands of the Calchaquí River and the San Lorenzo River, respectively. Both environments differ in their saline concentration, being very high in the Calchaquí River. We studied the gills of both species, because these organs are multifunctional since, in addition to carrying out gas exchange, they carry out another series of critical functions such as ion regulation and maintenance of acid-base balance. The organs were processed with routine techniques for histology and scanning electron microscopy. The gill morphology of both species is characteristic for the genus, with wide gill arches, thick filaments, and short respiratory lamellae that respond to air-breathing species. The branchial epithelium presents a great cellular diversity: squamous, chlorid, mucosal and neuroepithelial cells, its distribution is very defined in the gill filaments. The chloride cells responsible for ion regulation are particularly more abundant and larger in Corydoras gladysae, where the waters in which they live register concentrations above 1300 µS. The differences in the chloride cells between the species could be an adaptive character to the higher concentration of salts.

Keywords: chloride cells; Corydoras; gills; histology.

 

1.  Facultad de Ciencias Naturales, Universidad Nacional de Salta, Consejo de Investigación, Av. Bolivia 5150 (A4408FVL), Salta, Argentina.

2.  Instituto de Bio y Geociencias del NOA (IBIGEO-CONICET), Facultad de Ciencias Naturales, Universidad Nacional de Salta, Av. Bolivia 5150 (A4408FVL), Salta, Argentina. virginia@unsa.edu.ar

 

Recibido: 5/10/2022                      Aceptado:15/12/2022                                                                                           Editado: Olga G. Martínez

 


 

INTRODUCCIÓN

Los Callichthyidae son bagres acorazados que pueden reconocerse fácilmente entre otros Siluriformes por tener dos series longitudinales de placas dérmicas en sus flancos (Reis, 1998, 2003). La familia está actualmente compuesta por más de 200 especies que se agrupan en ocho géneros, incluyendo Corydoras Lacépède, 1803 con más de 175 especies válidas, lo que lo convierte en el género más diverso dentro de la familia y también dentro del orden Siluriformes (Lima & Britto, 2020; Tencatt et al., 2019). El género tiene una amplia   distribución   geográfica en las regiones cisandinas de América del Sur, predominantemente en la cuenca del Amazonas, donde se encuentran más de la mitad de las especies conocidas (Tencatt & Ohara, 2016). En Argentina se han descripto 13 especies de Corydoras, en la provincia de Salta se citan un total de cuatro, Corydoras paleatus Jenyns 1842, C. micracanthus Regan 1912, C. gladysae Calviño & Alonso 2009 y C. petracinii Calviño & Alonso 2009, las últimas dos especies endémicas (Liotta, 2005; Knaack, 2007; Calviño & Alonso, 2009). C. gladysae habita en humedales vegetados del río Calchaquí, cuyas aguas han sido caracterizadas como de alta salinidad (Morandini 2014), mientras que C. petracinii se encuentra en arroyos secundarios del río San Lorenzo que registra una baja salinidad.

Los peces teleósteos que habitan tanto en agua dulce como en aguas salobres y de mar mantienen la osmolaridad de sus fluidos corporales a un nivel relativamente constante; la osmolaridad plasmática generalmente se mantiene alrededor de 300 mOsm kg−1, (Motais et al., 1969; Evans, 2008). La regulación del agua y los iones en los peces tiene lugar principalmente en las branquias, los riñones y el intestino, creando gradientes iónicos y osmóticos entre los fluidos corporales y los ambientes externos. Las branquias son órganos multifuncionales con una compleja organización interna similar en la mayoría de los peses óseos (Wilson & Laurent, 2002); además de realizar el intercambio gaseoso, llevan a cabo otra serie de funciones criticas como la ionorregulación, la mantención del balance ácido-base, la excreción de productos nitrogenados y la destoxificacion (Goss et al., 1998).

En particular las células clorídeas del epitelio branquial cumplen un rol fundamental en la osmorregulación (Marshall, 1995; McCormick, 1995) poseen en sus membranas celulares proteínas transportadoras de iones (Hootman & Philpott, 1979; Hirose et al., 2003) que participan activamente en el equilibrio iónico del medio interno. Se han observado cambios morfológicos en las células clorídeas en respuesta a la salinidad ambiental en varias especies de teleósteos. En los peces de agua dulce en ambientes con altas concentraciones de salinidad, las células de clorídeas aumentan en número y tamaño (McCormick, 1995; Uchida et al., 2000).

Nos propusimos analizar la organización de las branquias de Corydoras gladysae y C. petracinii y determinar si existen diferencias en la morfología del epitelio branquial en relación a las distintas condiciones de salinidad de los ríos en los que habitan.

 

MATERIALES Y MÉTODOS

Los ejemplares de Corydoras gladysae fueron capturaron en humedales vegetados paralelos al brazo principal del río Calchaquí, a unos 800 metros al sureste del puente de entrada a Cachi; el cuerpo de agua registró al momento de la captura una conductividad de 1279 µS. C. petracinii fue capturada en pozones vegetados del río San Lorenzo, a la altura de Lomas de Medeiros a unos 200 metros al oeste de la Av. Circunvalación Oeste en la Capital de Salta; al momento de la captura se registró una conductividad de 176 µS.

Se capturaron siete ejemplares de ambas especies empleando redes atarrayas y copo; se anestesiaron con benzocaína al 0,01%, se sacrificaron por dislocación cervical y se fijaron en   formaldehido   estabilizado al 10%. Las branquias se extrajeron bajo microscopio estereoscópico Olympus SZ61, la serie derecha se procesó en el laboratorio de Microscopía Electrónica de Barrido (LASEM) de la Universidad Nacional de Salta, se observaron y fotografiaron con un equipo Jeol JSM-6480LV a alto vacío, con electrones secundarios y un voltaje de 15 a 20 kv. La serie izquierda de las branquias de cada ejemplar se procesó con técnicas histológicas de rutina (Martoja & Martoja, 1970) en el Laboratorio de Histología Animal, Facultad de Ciencias Naturales-UNSa.

Para determinar la existencia de diferencias en la abundancia y tamaño de las células clorídeas entre las especies; en las microfotografías de microscopía electrónica de barrido (MEB) se trazaron al azar, áreas de 40 micras cuadradas sobre los filamentos branquiales.

Las observaciones se realizaron en un microscopio Olympus BX40 y fotografiaron con una cámara digital Olympus DP25 acoplada al microscopio. Los ejemplares analizados para este trabajo se encuentran depositados en la colección del laboratorio de Histología de la Facultad de Ciencias Naturales, Universidad Nacional de Salta.

 

RESULTADOS

 

Estructura general de las branquias

La morfología de las branquias de Corydoras petracinii y C. gladysae responde al patrón general de los teleósteos, con un arco curvo desde el cual emergen los filamentos branquiales que sostienen a las laminillas respiratorias. Las branquias presentan una doble curvatura, describiendo   una   forma de “S” en vista frontal al extremo terminal de los filamentos (Fig. 1A). En vista lateral se diferenció la cara externa de la interna; la primera es la superficie de cada arco y sus filamentos branquiales que se posiciona en dirección al opérculo y la cara interna la superficie de las branquias que se ordenan hacia el eje central del cuerpo del pez. Otra región a destacar es el lado interno entre las dos hileras de filamentos branquiales de un arco branquial o el lado interno de las

hemibranquias (Fig.1B).

 

Organización histológica

En cuanto a la organización histológica el arco branquial se destaca por presentar un soporte de cartílago, rodeado de tejido conectivo y las arterias aferentes y eferentes. Del arco branquial irradian los filamentos que presentan una varilla de cartílago branquial y arteriolas que se capilarizan dentro de las laminillas respiratorias. El arco y los filamentos branquiales están revestidos por epitelio plano estratificado que presenta varios tipos celulares que tienen una distribución diferente según la zona que se analice. El arco branquial está revestido por un epitelio plano estratificado en el que se destaca la alta densidad de botones sensoriales que se extienden desde la base del arco, sobre las protuberancias y hasta los extremos de los filamentos branquiales (Fig. 1C).

Respecto a los botones sensoriales se han hallado dos tipos morfológicos; botones cónicos con una base ancha y extremo ahusado que cubren la superficie del arco branquial y los filamentos, y botones fungiformes con una base angosta y ensanchada en su extremo apical. Ambos tipos de botones presentan la típica organización histológica en cebolla de los botones sensoriales, células acompañantes fusiformes con núcleo basófilo que se intercalan con neuronas bipolares y órganos en cúpula marcadamente eosinofílicos en el extremo apical (Fig. 2A).

En cuanto a los tipos celulares presentes en el epitelio branquial en los cortes histológicos de los filamentos branquiales se observan pocas células mucosas y clorídeas, estas se localizan en el epitelio interlamelar. Las células mucosas redondeadas se caracterizaron por presentar un citoplasma muy claro, con vesículas en su interior y núcleo basal basófilo; las células clorídeas de forma redondeada, con un citoplasma marcadamente eosinófilo y un núcleo basófilo de posición más o menos central. Las células más abundantes en los filamentos fueron las pavimentosas componentes del epitelio plano estratificado. Las laminillas respiratorias en las dos especies son muy cortas, en su interior se observan los capilares alineados sostenidos por células pilar y rodeados de una doble capa de epitelio plano simple, el epitelio respiratorio (Fig. 2B).

 

 

 

Figura 1. Aspecto y organización histológica de la branquia de Corydoras gladysae. A. Vista frontal al extremo terminal de los filamentos branquiales. B. Detalle de una branquia donde se aprecia el lado interno entre las hemibranquias (li). C. Organización histológica de una branquia, arco de cartílago (ab), arteria branquial (ar b), filamentos branquiales (f), laminillas respiratorias (l). protuberancias de la base del arco (p). Escalas: A: 2mm. B: 1mm. C: 250µm.


 

 

Organización de las branquias

El arco branquial en ambas especies es curvo y ancho, presentando en el borde basal de la cara externa cinco a siete protuberancias. Los filamentos branquiales son anchos en toda su extensión y las laminillas respiratorias muy cortas. Las dos especies presentan numerosos botones sensoriales, en los filamentos y arcos de las hemibranquias internas los botones se encuentran cubriendo toda la superficie, mientras que en las hemibranquias externa el número de botones sensoriales se reduce considerablemente. Los botones cónicos y fungiformes se encontraron a lo largo de los filamentos y su número es mayor en la cara interna de las branquias, mientras que los botones fungiformes se diferenciaron claramente por el extremo redondeado a plano, rodeado por un reborde y solo se hallaron sobre los filamentos branquiales (Fig. 3).

 


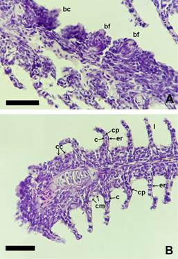
Figura 2. Botones sensoriales y tipos celulares en los filamentos branquiales de Corydoras gladysae y Corydoras petracinii. A. Corydoras gladysae, con botones fungiformes (bf) y botones cónicos (bc). B. Corydoras petracinii, filamento revestido por epitelio plano estratificado, células clorídeas (cc), células mucosas (cm), laminillas respiratorias (l) donde se observan numerosos capilares (c) sostenidos por células pilar (cp) y rodeados de una doble capa de epitelio plano simple (er). Escala 50 µm.

En las imágenes de MEB se confirmó que las células mucosas y clorídeas se hallan sobre el filamento branquial y no sobre las laminillas. En ambas especies se identificaron en la superficie de los filamentos, células epiteliales planas o pavimentosas, células mucosas, células clorídeas y células neuroepiteliales. Las células pavimentosas son las más abundantes, presentan formas poliédricas con microcrestas en su superficie y sus bordes son elevados, poniendo en evidencia las fuertes uniones celulares (Fig. 4A). Las células mucosas se presentan como huecos con rebordes que sobresalen producto del proceso de exocitosis (Fig. 4B). También las células clorídeas fueron abundantes en número en ambas especies, su forma es ovoide a redondeada, se encuentran rodeadas por células pavimentosas a las que se hallan fuertemente unidas; su superficie apical presenta una ornamentación característica de aspecto de enrejado con la presencia de pequeñas vesículas. Las células clorídeas se hallaron a lo largo de todo el filamento, aunque su densidad es mayor en el lado interno de las hemibranquias (Fig. 4C). Un tipo celular que se evidenció únicamente con MEB, corresponde a las denominadas células neuroepiteliales, estas son escasas en número y se caracterizan por su forma redondeada con numerosas proyecciones en su interior rodeadas por un reborde sobresaliente de la superficie del epitelio (Fig. 4D).

 

Abundancia y aspecto de células clorídeas

El número de células clorídeas por área entre ambas especies fue diferente, presentando C. gladysae un promedio de 22 células y C. petracinii un promedio de 13.

En cuanto a su aspecto se halló que C. gladysae posee células clorídeas más grandes, con un promedio de 4,5 µm de ancho y 6,5 µm de largo, mientras que C. petracinii presentó un promedio de 3,6 µm de ancho y 5,5 µm de largo. Las células clorídeas de C. gladysae mostraron un marcado reborde y una abundancia de vesículas en su superficie (Fig. 4E), mientras que C. petracinii evidenció un enrejado más ordenado y sin presencia de vesículas, posiblemente debido a una menor actividad funcional (Fig. 4F).

 

 

 

Figura 3. Aspecto del epitelio branquial de Corydoras gladysae y Corydoras petracinii al microscopio electrónico de barrido. A. Detalle de la cara interna de una branquia de C. gladysae. B. Detalle de la cara externa de una branquia de C. gladysae. C. Detalle de la cara interna de una branquia de C. petracinii. D. Detalle de la cara externa de una branquia de C. petracinii. Escala 500 µm.

 

DISCUSIÓN

La organización branquial de Corydoras petracinii y C. gladysae responde al patrón general descripto para la mayoría de los teleósteos (Hibiya, 1982; Olson, 2000; Wilson & Laurent, 2002). La familia Callychthydae presenta varias especies con respiración aérea confirmada, Hoplosternum thoracatum Hancock 1828, Hoplosternum littorale Hancock 1828 (Graham, 1997), Corydoras paleatus (Plaul et al., 2021); las branquias de C. petracinii y

C. gladysae presentaron anchos filamentos branquiales de los que se desprenden laminillas respiratorias cortas, que en cortes histológicos se pueden interpretar como atrofiadas, pero la microscopía electrónica de barrido corroboró su corta extensión, lo que se relaciona posiblemente con sus hábitos respiratorios aéreos, situación estudiada en C. paleatus por Plaul et al. (2021). La abundante presencia de botones sensoriales que se distribuyen sobre el arco branquial y en los filamentos en ambas especies. Estas estructuras incrementan en número en la cara interna de la branquia y en las protuberancias que sobresalen en los arcos branquiales; la presencia de botones sensoriales también ha sido señalada en C. paleatus pero su número es menor y no llegan a cubrir todo el filamento como en las especies aquí estudiadas. Los botones sensoriales, cónicos y fungiformes hallados en C. petracinii y C. gladysae parecen ser una característica del género; ninguna de las dos especies presentó branquiespinas como las descriptas por Plaul et al., (2021) en C. paleatus. Probablemente los botones sensoriales son botones gustativos que cumplen funciones de palatabilidad, en los cortes histológicos fue evidente la inervación de estas estructuras, en otros teleósteos se han encontrado estructuras similares que cumplen este rol, como en Amblypharyngodon melettinus Valenciennes 1844 (Hofer et al., 2003), Astyanax mexicanus De Filippi 1853 (Bathia et al., 2022).

 

 

Figura 4. Células del epitelio branquial de Corydoras gladysae y Corydoras petracinii. A. Células pavimentosas de forma poliédrica y con presencia de microcrestas (CP) y células clorídeas (CC) de C. gladysae. B. Células mucosas en exocitosis sobre un filamento branquial de C. petracinii. C. Detalle del lado interno de un filamento de C. gladysae, se observan numerosas células clorídeas rodeadas por cé- lulas pavimentosas. D. Detalle del epitelio del filamento branquial de C. petracinii, se observan células neuroepiletiales (ne) con numerosas proyecciones, células pavimentosas (CP) y células clorídeas (CC). E. Detalle de las células clorídeas en lado interno de las hemibranquias de C. gladysae. F. Detalle de las células clorídeas presentes en el lado interno de las hemibranquias de C. petracinii. Escalas: A: 5µm. B: 10µm. C: 20µm. D: 10µm. E: 5 µm. F: 5µm.

 

La diversidad de células en el epitelio branquial que reviste a toda la branquia ha sido ampliamente estudiada en otros teleósteos, se han reconocido varios tipos celulares que se distribuyen en diferentes zonas. Las células epiteliales pavimentosas representaron el mayor porcentaje. Las células mucosas, las pocas que se detectaron, se las observó sobre la superficie de los filamentos especialmente en la cara externa de la branquia. Las células neuroepiteliales solo pudieron ser observadas con microscopía electrónica de barrido y se ubicaron sobre los filamentos de la cara externa. Las células clorídeas fueron muy escasas en las caras externa e interna de la branquia, pero muy abundantes en el lado interno de las hemibranquias y en los espacios interlamelares. Las células clorídeas de ambas especies presentaron una morfología similar, redondeada a oval, con la superficie apical de aspecto enrejado y bordes bien marcados; su aspecto es similar al descripto por Perry (1997) para Ictalurus nebulosus Lesueur 1819.

Respecto al tamaño las células clorídeas en C. gladysae resultaron ser más grandes y numerosas que las de C. petracinii. Plaul et al. (2021) en su descripción del epitelio branquial de C. paleatus señala la escasez de estas células, esto podría deberse a que no se realizaron observaciones del lado interno de las hemibranquias con MEB, como así también la magnitud del aumento de las observaciones, ya que estas células rondan el orden de las cinco micras de diámetro.

En las células clorídeas de los peces de aguas continentales se han identificado la presencia de proteínas en el sistema tubulovesicular que intercambian iones de Na+, K+, Ca+2, H+, HCO3-2, activados con bombas V-Atpasas, de allí la gran cantidad de mitocondrias (Perry, 1997; Goss et al., 1998; Wilson & Laurent, 2002; Hirose et al., 2003; Evans et al., 2005). Los ríos donde viven ambas especies tienen marcados periodos de creciente y estiaje; en los meses de creciente, diciembre a mayo, el caudal aumenta por las precipitaciones y el deshielo, y en los meses de estiaje el caudal desciende marcadamente por lo que los ambientes pueden registrar un bajo contenido de oxígeno y una mayor concentración de sales (observación personal). C. petracinii que vive en pozas con escasa vegetación sube a la superficie frecuentemente, mientras que C. gladysae habita humedales que se forman luego del periodo de creciente y permanecen como charcas vegetadas durante la mayor parte del año en condiciones de anoxia e hipercapnia (observaciones directas a campo).

El mayor número de células clorídeas encontradas en C. gladysae en comparación con C. petracinii, podría estar relacionado a los mayores niveles de salinidad de los humedales del río Calchaquí, que rondan el orden de los 1300 µS, con respecto a los 180 µS del río San Lorenzo. Morandini (2014) determinó que las aguas superficiales en diferentes tramos del río Calchaquí son de media a alta salinidad. Azodi et al. (2021) en un trabajo experimental comprobó en juveniles y adultos de Lates calcarifer Bloch 1790 que un aumento de la salinidad produce un incremento en el número de las células clorídeas en los filamentos y espacios interlamelares, fenómeno observado también en peces eurihialinos (Pisam et al., 1987; Evans, 2008). Además de la diferencia de concentración de sales de los dos ambientes estudiados se debe considerar la altura sobre el nivel del mar, 2300 msnm (río Calchaquí) /1200 msnm (río San Lorenzo) que condicionan la concentración de oxígeno en el aire y por ende en el agua. El ambiente en el que vive C. gladysae tiene condiciones de hipercapnia e hipoxia. La hipercapnia se produce por un aumento de los niveles en sangre del CO2 que se halla como HCO-3, elevando la acidez en sangre; se ha confirmado que las células clorídeas cumplen un rol fundamental en regular la acidosis, la regulación iónica, la captación de calcio intraepitelial (Perry, 1997; Goss et al., 1998). Por ello la presencia de un mayor número de células clorídeas en C. gladysae podría ser una adaptación al ambiente donde habita, con altas concentraciones de salinidad y condiciones de hipercapnia e hipoxia.

Varios estudios integrales intentan comprender la taxonomía y la filogenia de las relaciones entre las especies de Corydoras (Alexandrou et al., 2011; Britto, 2003; Nijssen, 1970; Nijssen & Isbrücker, 1967, 1986); las diferencias encontradas en las células clorideas y la distribución de los botones gustativos también deberían analizarse en un contexto filogenético para descartar un proceso adaptativo.

 

CONCLUSION

Las branquias en los peces teleósteos cumplen un importante rol en la osmorregulación; en ambientes con alta salinidad como el que habita Corydoras gladysae. En las branquias de esta especie se encontraron células clorídeas más grandes y numerosas que en C. petracinii que vive en aguas con baja salinidad donde su número y tamaño es menor. Las diferencias en las células clorídeas entre las especies muestran una gran plasticidad fenotípica en este órgano multifuncional.

 

AGRADECIMIENTOS

Agradecemos a los evaluadores por sus revisiones a la versión definitiva del trabajo y al Consejo de Investigación de la Universidad Nacional de Salta (proyecto A N°2501) por el financiamiento otorgado.

BIBLIOGRAFÍA

Alexandrou, M. A. & M. I. Taylor. 2011. Evolution, ecology and taxonomy of the Corydoradinae revisited. En Fuller I. A. &

M. Taylor (eds.), Identifying Corydoradinae catfish: Aspidoras, Brochis, Corydoras, Scleromystax, C-numbers & CW-numbers: supplement, 1: 101-114.

Azodi M., Bahabadi M. N., Ghasemi A., Mor- shedi V., Mozanzadeh M. T., Shahraki R., Khademzadeh O., Hamedi S. & S. Avizhgan. 2021. Efects of salinity on gills’ chloride cells, stress indices, and gene expression of Asian seabass (Lates calcarifer, Bloch, 1790). Fish. Physiol. Biochem. 47: 2027-2039. https://doi. org/10.1007/s10695-021-01024-6


Bhatia V., de Jesus V. C., Shaik F. A., Jaggupilli A., Singh N., Chelikani P. & D. Atukorallaya. 2022. Extraoral expression and characteri- zation of bitter taste receptors in Astyanax mexicanus (Mexican tetra fish). FASEB BioAdvances. 4(9): 574-584. https://doi. org/10.1096/fba.2022-00032

Britto M. R. 2003. Phylogeny of the subfamily Corydoradinae Hoedeman, 1952 (Silurifor- mes: Callichthyidae), with a definition of its genera. Proc. Acad. Nat. Sci. 153:119-154. https://doi.org/10.1635/0097-3157(2003)1 53[0119:POTSCH]2.0.CO;2

Calviño P. A. & F. Alonso. 2009. Dos nuevas es- pecies del género Corydoras (Ostariophysi: Siluriformes: Callichthyidae) del noroeste de Argentina, y la redescripción de C. mi- cracanthus Regan, 1912. Rev. Mus. Argent. Cienc. Nat. 11(2):199-214.

Evans D. H. 2008. Osmotic and ionic regulation: cells and animals. CRC Press, Boca Raton, FL.

Evans D. H., Piermarini P. M. & K. P. Choe. 2005. The multifunctional fish gill: dominant site of gas exchange, osmoregulation, acid-ba- se regulation, and excretion of nitrogenous waste. Physiol. Rev. 85:97-177. https://doi. org/10.1152/physrev.00050.2003

Goss G. G., Perry S. F., Fryer J. N. & P. Laurent. 1998. Gill morphology and acid-base regu- lation in freshwater fishes. Comp. Biochem. Physiol. A, Mol. Integr. Physiol. 119(1): 107-115. https://doi.org/10.1016/S1095-

6433(97)00401-7

Graham J. B. (ed.). 1997. Air Breathing Fishes: evolution, diversity, and adaptation. Aca- demic Press, San Diego, California, USA.

Hibiya T. (ed.). 1982. Atlas of fish histology.

Kodansha Ltd. Tokyo.

Hirose S., Kaneko T., Naito N. & Y. Takei. 2003. Molecular biology of major compo- nents of chloride cells. Comp. Biochem. Physiol. B, Biochem. Mol. Biol. 136(4): 593-620. https://doi.org/10.1016/S1096-

4959(03)00287-2

Hofer R., Salvenmoser W. & F. Schiemer. 2003. Regulation of diurnal filter feeding by a novel gill structure in Amblypharyngodon melettinus (Teleostei, Cyprinidae). Zoo- morphology. 122: 113-118. https://doi. org/10.1007/s00435-003-0076-1

Hootman S. R. & C. W. Philpott. 1979. Ultracyto- chemical localization of Na+, K+-activated ATPase in chloride cells from the gills of a euryhaline teleost. Anat Rec. 193: 99-130. https://doi.org/10.1002/ar.1091930107

Knaack J. 2007. Beiträge zur Kenntnis der Callichthyidae (Teleostei: Siluriformes).

III. Corydoras longipinnis sp. n.–ein neuer Panzerwels aus dem río Dulce in Argentinien (Teleostei: Siluriformes: Callichthyidae). Vertebr. Zool. 57(1): 35-55.

Lima F. C. T. & M. R. Britto. 2020. A new Corydoras (Ostariophysi: Siluriformes: Callichthyidae) with an unusual sexual dimorphism from the rio Juruena basin, Brazil. Zootaxa, 4742: 518-530. https://doi. org/10.11646/zootaxa.4742.3.6

Liotta J. 2005. Distribución geográfica de los pe- ces de aguas continentales de la República Argentina.

Marshall W. S. 1995. Transport processes in isola- ted teleost epithelia: Opercular epithelium and urinary bladder. En Wooods T. J. & T. J. Shuttleworth (eds.), Cellular and Molecular Approaches to Fish Ionic Regulation. Fish Physiol. 14: 1-23. https://doi.org/10.1016/ S1546-5098(08)60240-X

Martoja R. & M. Martoja. 1970. Técnicas en his- tología animal. Pierson. Torray – Masson S.A.

McCormick S. D. 1995. 11. Hormonal control of gill Na+, K+-ATPase and chloride cell func- tion. In: Cellular and Molecular Approaches to Fish Ionic Regulation. Fish Physiol. 14: 285-315. https://doi.org/10.1016/S1546-

5098(08)60250-2

Morandini J. L. 2014. Caracterización de los sistemas de riego de los valles Calchaquíes. FAO- INTA. 299pp.

Motais R., Isaia J., Rankin J. C. & J. Maetz. 1969. Adaptive changes of the water permeability of the teleostean gill epithelium in relation to external salinity. J. Exp. Biol. 51(2): 529- 546. https://doi.org/10.1242/jeb.51.2.529

Nijssen H. & I. J. H. Isbrücker. 1967. Notes on the Guiana species of Corydoras Lacépè- de, 1803, with descriptions of seven new species and designation of a neotype for Corydoras punctatus (Bloch, 1794) (Pisces, Cypriniformes, Callichthyidae). Zool. Me- ded. 42: 21-50.

Nijssen H. & I. J. H. Isbrücker. 1986. Review of the genus Corydoras from Peru and Ecua- dor (Pisces, Siluriformes, Callichthyi- dae). Stud. Neotrop. 21: 1-68. https://doi. org/10.1080/01650528609360697

Nijssen H. 1970. Revision of the Surinam catfishes of the genus Corydoras Lacépède, 1803 (Pisces, Siluriformes, Callichthyidae). Beaufortia. 18:1-75.


Olson K. R. 2000. Respiratory System. In: The laboratory fish. Pp. 357-367. https://doi. org/10.1016/B978-012529650-2/50027-5

Perry S. F. 1997. The chloride cell: structure and function in the gills of freshwater fishes. Annual Review of Physiology. 59(1): 325-

347. https://doi.org/10.1146/annurev.phy- siol.59.1.325

Pisam M., Caroff, A. & A. Rambourg. 1987. Two types of chloride cells in the gill epithelium of a freshwater‐adapted euryhaline fish: Lebistes reticulatus; their modifications during adaptation to saltwater. Am. J. Anat. 179(1): 40-50. https://doi.org/10.1002/ aja.1001790106

Plaul S. E., Díaz, A. O. & C. G. Barbeito. 2021. Gill morphology and morphometry of the facultative air‐breathing armoured catfish, Corydoras paleatus, in relation on aquatic respiration. J. Fish Biol. 99(4): 1318-1327. https://doi.org/10.1111/jfb.14837

Reis R. E. 1998. Anatomy and phylogenetic analysis of the neotropical callichthyid catfishes (Ostariophysi, Siluriformes). Zool. J. Linn. 124: 105-168. https://doi.or- g/10.1111/j.1096-3642.1998.tb00571.x

Reis R. E. 2003. Family Callichthyidae (armored catfishes). En Reis, R.E., S.O. Kullander & C.J. Ferraris (eds.), Checklist of the freshwater fishes of South and Central América.Pp. 291-309. EDIPUCRS, Porto Alegre, Brazil,

Tencatt L. F. C., Lima F. C. T. & M. R. Britto. 2019. Deconstructing an octogenarian mis- conception reveals the true Corydoras ar- cuatus Elwin 1938 (Siluriformes: Callich- thyidae) and a new Corydoras species from the Amazon basin. J. Fish Biol. 95: 453- 471. https://doi.org/10.1111/jfb.13980

Tencatt, L. F. C. & W. H. Ohara. 2016. Two new species of Corydoras Lacépède, 1803 (Siluriformes: Callichthyidae) from the rio Madeira basin, Brazil. Neotrop. Ichthyol. 14: 139-154. https://doi.org/10.1590/1982-

0224-20150063

Uchida K., Kaneko T., Miyazaki H., Hasegawa S. &

T. Hirano. 2000. Excellent salinity tolerance of Mozambique tilapia (Oreochromis mossambicus): elevated chloride cell activity in the branchial and opercular epithelia of the fish adapted to concentrated seawater. Zool. Sci. 17(2): 149-160. https://doi.org/10.2108/ zsj.17.149

Wilson J. M. & P. Laurent. 2002. Fish gill morpho- logy: inside out. J. Exp. Zool. 293(3): 192- 213. https://doi.org/10.1002/jez.10124