Experimental Poisoning with Baccharis coridifolia (Asteraceae) in Goats

Intoxicación Experimental con Baccharis coridifolia (Asteraceae) en Cabras

 

Laura S. Aguirre1,2,4*, Rodrigo García-Prieto4 , Agustín Avellaneda-Cáceres1,2,3  , Diego M. Medina4  , Luis A. Colque-Caro1,2  & Juan F. Micheloud1,2,4 

 

1. Consejo Nacional de investigaciones Científicas y Técnicas (CONICET), Rivadavia 941 (A4400), Salta, Argentina.

colquecaro.luis@inta.gob.ar - https://orcid.org/0000-0002-3821-4683

2. Área de Salud Animal “Dr. Bernardo J. Carrillo” - IIACS -CIAP -Instituto Nacional de Tecnología Agropecuaria (INTA), RN 68 Km 172 (A4403), Cerrillos, Salta, Argentina. micheloud.juan@inta.gob.ar - https://orcid.org/0000-0001-8709-895X

3. Cátedra Elementos de Reproducción y Sanidad Animal, Facultad de Ciencias Naturales, Universidad Nacional de Salta, Av. Bolivia 5150 (A4408FVY), Salta, Argentina. avellaneda.agustin@inta.gob.ar - https://orcid.org/0000-0003-4744-1551

4. Facultad de Ciencias Agrarias y Veterinarias, Universidad Católica de Salta, Campo Castañares s.n. (A4400), Salta, Argentina. diegomartinnicolas@hotmail.com - https://orcid.org/0000-0003-3080-7609, rodrigo.garcia@lagalesa.com.ar https://orcid.org/0009-0000-5466-5057

Author for correspondence: aguirre.sabrina@inta.gob.ar - https://orcid.org/0000-0001-5644-5795

 

Abstract

This work aimed to experimentally reproduce Baccharis coridifolia poisoning in goats. Eight adult Saanen goats were divided into two groups, four received an oral dose of 5 g/kg live weight of dried and ground plant and the rest of them were used as a control group. The animals were inspected every 2 hours and the observed clinical signs were restlessness, anorexia, tachycardia, tachypnea, muscle spasms, colic, mild tympanism, ruminal atony, and death. The main macroscopic alterations were observed in the digestive system, consisting of edema and diffuse congestion of the mucosa of all pre- stomachs, abomasum, and intestines. Histopathological examination revealed especially degeneration, coagulative necrosis, ulceration, and detachment of the epithelium from both the rumen and reticulum.

B. coridifolia is one of the most important toxic plants in Argentina. Although many species are known to be susceptible, studies on this subject are scarce in goats, which gives this work a greater relevance.

Keywords: Digestive disorder; Prestomachs, Small ruminants; Toxic plants

 

Resumen

El objetivo de este trabajo fue reproducir experimentalmente la intoxicación con Baccharis coridifolia en la especie caprina. Para llevar a cabo el ensayo se emplearon ocho caprinos adultos de la raza Saanen, cuatro de ellos recibieron una dosis oral de 5 g/kg de peso vivo de planta seca y molida. Los animales fueron inspeccionados cada 2 horas, los signos clínicos que manifestaron fueron intranquilidad, anorexia, taquicardia, taquipnea, espasmos musculares, cólico, timpanismo leve, atonía ruminal y muerte. Las principales alteraciones macroscópicas se observaron a nivel del aparato digestivo, consistiendo en edema y congestión difusa de la mucosa de los preestómagos, abomaso e intestinos. El examen histopatológico reveló principalmente degeneración, necrosis coagulativa, ulceración y desprendimiento de epitelio de revestimiento de rumen y retículo. B. coridifolia es una de las plantas toxicas más importantes de Argentina. Si bien son susceptibles muchas especies, en los caprinos son escasos los estudios al respecto lo que le da a este trabajo mayor relevancia.

Palabras Clave: Desordenes digestivos; Preestómagos; Rumiantes menores; Plantas tóxicas

 

 

 

Aguirre, L. S. García-Prieto, R., Avellaneda-Cáceres, A., Medina, D. M., Colque-Caro, L. A., & Micheloud, J. F. (2023). Experimental Poisoning with Baccharis coridifolia (Asteraceae) in Goats. Revista Ciencias Naturales, 1(2), 78–83.

 

Recibido: 23/4/2023     Aceptado: 17/7/2023         Publicado: 15/8/2023                                          Editora Asociada: Paula Narváez

 


INTRODUCTION

Baccharis coridifolia is a toxic plant commonly known in Argentina as “mío-mío” or “romerillo”, and it is widely distributed in the central and southern regions of the country, Uruguay, Bolivia, Paraguay, and south of Brazil (Budel & Duarte, 2007). The poisoning is more frequent in cattle but has also been described in sheep, goats, horses, and pigs (Tokarnia et al., 2012).

Macrocyclic trichothecenes were reported to be the main toxic principles, and they seem to be produced by soil fungi of the genus Myrothecium (Berreta, 1996; Riet-Correa

& Méndez, 2007). The mycotoxins isolated from B. coridifolia and therefore produced by Myrothecium were roridines A, D, and E, verrucarines A and J, and mycotoxin A (Perusia & Rodríguez, 2004). The roots of the plant absorb the mycotoxins and incorporate them into their system without altering their structure (Berreta, 1996; Riet- Correa & Méndez, 2007). The effects caused by these mycotoxins are the alteration of cell membrane polarity and enzyme systems, immunotoxicity, and inhibition of protein synthesis. Additionally, the toxic dynamics of macrocyclic trichothecenes have been used to evaluate their potential anticancer, fungistatic, and virucidal activity. According to the strong tendency of trichothecenes to inhibit protein synthesis, they are considered extremely irritating to the skin and mucous membrane (Lozano & Díaz, 2006).

All parts of the plant are considered toxic. In decreasing order of toxicity are flowers, seeds, leaves, stems, and roots (Riet-Correa

& Méndez, 2007). There are also differences in terms of toxicity when referring to the sex of the plants since female plants are more toxic than male plants due to their higher accumulation of macrocyclic trichothecenes (Lozano & Díaz, 2006).

Natural poisoning occurs when animals without any previous exposure to the plant are introduced into an area where B. coridifolia is present (Barros, 1998; Riet-Correa & Méndez, 2007; Tokarnia et al., 2012). Even though experimental poisoning has been carried out in cattle, sheep (Tokarnia et al., 2012), and rabbits (Döbereiner et al., 1976), toxicity in goats has been poorly studied, and the scarce information dates to articles from the last century (Flores & Houssay, 1917).

The purpose of this work was to reproduce experimentally the poisoning by B. coridifolia in goats to prove the susceptibility of this species and describe the clinical and pathological findings.

MATERIALS AND METHODS

The UCASAL (Universidad Católica de Salta) and CICUAL (Animal Care and Use Committee) Number 8-18 approved the study protocol. The requirements of the Argentine Animal Protection Policy (Ley 14346) were always fulfilled. Eight adult Saanen crossbred goats weighing 50, 7 +/- 8 kg were divided into two groups of four animals each. The first group was poisoned, and the second group was the control group. Before starting, a general and objective gastrointestinal examination of all the animals was carried out to verify their health status.

B. coridifolia samples were collected both in the vegetative stage and early blooming and dried at room temperature for one week (Fig. 1). Subsequently, leaves and stems were milled to a size of approximately 2.5 mm. Medicago sativa L. leaves and stems were subjected to the same drying and milling process.

The first group was the treatment group (animals 1, 2, 3, 4), which was administered B. coridifolia in a single dose of 5 g of dry matter/kg to each animal by an oro-esophageal tube. The control group (animals 5, 6, 7, 8) was administered only M. sativa in a single dose of 5 g of dry matter/kg to each animal also by an oro-esophageal tube. Afterward, both groups were confined separately and were offered alfalfa hay and water ad libitum. The general clinical inspection was done every two hours. Animals from the treatment group died within 12 to 24 hours after the poisoning and the control group animals were euthanized, all the animals were necropsied. Tissue samples were collected, preserved in 10% buffered formalin, and processed routinely for sectioning and microscopic study. Sections were stained with hematoxylin and eosin.

Observations and images were taken using an Olympus U-TV0.5XC-3; DP22 camera mounted on an Olympus Cx41 conventional optical microscope.

 

 

 

 

Figure 1. Baccharis coridifolia in the vegetative stage.

 


RESULTS

Clinical findings

Animals from the control group did not show any clinical signs and their health status was normal during the experiment. Conversely, the treatment group showed clinical signs and died within 24 hours after the plant ingestion. Data are shown in Table 1.

The most observed clinical signs were restlessness, anorexia, tachycardia, tachypnea, colic, diarrhea, mild tympanism, and ruminal atony. In two animals (animals 2 and 4) there were also lip spasms and antalgic position because of the abdominal pain. Only one animal (animal 3) exhibited vocalizations as a sign of pain. In advanced stages, ataxia, lateral recumbency, pedaling, opisthotonos, and finally death was observed. None of the control group animals showed clinical signs or died.

Pathological findings

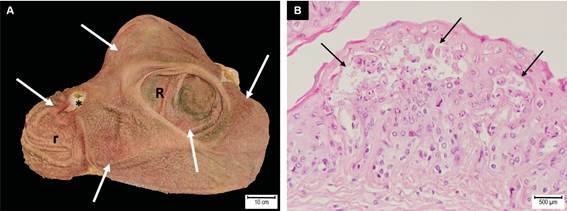
Necropsy findings in the treatment group included dehydration, a large volume of fluid in the rumen, varying degrees of diffuse congestion, edema, erosions, and ulcerations of the rumen and reticulum mucosa, and easy detachment of the rumen epithelium (Fig. 2A). In addition, congestion, edema, and hemorrhage in the mucosa were observed in the abomasum. The intestines were slightly dilated with fluid inside and a slight to marked reddening of some segments, mainly in the duodenum, jejunum, and large intestine.

The liver was seen in some cases congestive and in other cases with a lighter color. On the other hand, there was a slight increase in the size of the mesenteric lymph nodes, and some were hemorrhagic. No relevant lesions were found in other organs. The animals from the control group did not show evidence of injuries in any organ or tissue.

Histological findings in the treatment group consisted of varying degrees of degenerative and necrotic disorders in the rumen epithelium.


 

 

 

Clinical signs

Hours elapsed after the ingestion of the plant

Clinical evolu- tion

Hours elapsed be- tween ingestion and death

1 (231)

Sudden death

-

-

8 h

 

2 (054)

Restlessness, anorexia, antalgic position, colic, diarrhea, ataxia, recumbency, pedaling movements, opisthotonos, and death.

 

12 h

 

6 h

 

18 h

 

3 (193)

Restlessness, anorexia, colic, diar- rhea, ruminal atony, ataxia, recum- bency, vocalizations, opisthotonos, and death.

 

14 h

 

7 h

 

21 h

 

4 (303)

Weakness, anorexia, ruminal atony, diarrhea, antalgic position, restlessness, ataxia, pedaling movements, and death.

 

17 h

 

6 h

 

23 h

 

Table 1. Clinical signs chronology of the treatment group.

 

 

 

Figure 2. A. Diffuse congestion and erosions (arrows) of the rumen (R) and reticulum (r) mucosa from a treatment group goat. cardia: *. B. Hydropic degeneration cell and apoptosis (arrows) with multifocal intercellular edema.


This variation occurred from animal to animal. Primarily shortening of the rumen papillae was observed in all animals.

Rumen epithelial cells showed intense eosinophilic cytoplasm and karyorrhexis (animals 3 and 4). In addition, multiple cells showed hydropic degeneration and several Civatte’s corpuscles (apoptosis). In some areas of the mucosa, mild multifocal intercellular edema was identified causing a separation of the epithelial cells (Fig. 2B). Areas of necrosis were identified in the papillae covered by cellular debris and dense agglomerates of coccoid bacteria. In the lamina propria, in one animal (4), an inflammatory infiltrate was observed with the presence of intact and degenerated neutrophils.

Different degrees of lymphocyte necrosis could be observed in the thymus, spleen, and gut-associated lymphoid tissue. Lymph node necrosis was also found, mainly involving the mesenteric lymph nodes, with moderate necrosis of the follicles’ central cells, showing pyknosis and karyorrhexis or even with the loss of cellular detail and a large number of cellular debris. Hemorrhages were also observed (animal 2). In the liver, hepatocytes showed periportal tumefaction, vacuolization, and coagulative necrosis. was observed in the four animals that died due to the intoxication.

DISCUSSION

This experiment confirmed that ingestion of B. coridifolia is toxic for goats as well as for other species, following what has been described in several works (Perusia et al., 2004; Rissi et al., 2005; Riet-Correa

& Méndez, 2007; Tokarnia et al., 2012). However, no information was found referring to experimental poisoning with B. coridifolia in goats or about toxic doses.

B. coridifolia is more toxic during blooming in autumn, but poisoning is more frequent in the spring (SeptemberNovember) during its growth period or vegetative stage when the plant shoots are mixed with grass and appear to be more palatable and therefore inadvertently ingested by animals (Barros, 1998; Rissi et al., 2005). In Northwestern Argentina, blooming occurs during summer (JanuaryMarch) when rains are more frequent.

The lethal dose of B. coridifolia for cattle varies between 0.25 to 0.5g/kg of dry matter in the blooming period and 2g/kg of dry matter during the vegetative stage. (Tokarnia & Döbereiner, 1975; Varaschin et al., 1998). Sheep are more resistant to poisoning and may have to ingest twice the toxic dose for cattle (Tokarnia & Döbereiner, 1975, Tokarnia & Döbereiner, 1976). Conversely, no records referring to toxic doses in goats were found. In this work, the plant was toxic at a dose of 5g/ kg of dry matter to prove the susceptibility of this species. During blooming, the toxic dose would probably be lower, because the toxicity of the plant increases during this stage.

Animals in this experiment showed acute clinical signs strictly related to gastrointestinal disorders as described in other papers, both in goats (Barbosa et al., 1994) and in other species (Varaschin et al., 1998; Rissi et al., 2005; Riet-Correa & Méndez, 2007; Pedroso et al., 2007; Tokarnia et al., 2012).

The main lesions produced by macrocyclic trichothecenes (roridine) identifiable at necropsy include inflammatory lesions of the rumen, hepatitis, congestion, and pulmonary edema (Radostits et al., 2002). Changes in the prestomach, abomasum, and intestine are the main macroscopic findings in goats affected by the disease. Variable degrees of congestion, hemorrhage, edema, and mucosal erosions are usually found (Panziera et al., 2015). It is important to emphasize that lesions in the abomasum and segments of the small intestine appear to be more severe in goats than in other species (Barbosa et al., 1994). The histological findings described in this work coincide with those reported in other works (Barbosa et al., 1994; Tokarnia et al., 2012). Lymphoid necrosis seems to be a very consistent finding in this poisoning (Varaschin et al., 1998; Rissi et al., 2005; Rozza et al., 2006) and some authors report that this finding may be due to the toxicity of this plant to B-lymphocytes (Rissi et al., 2005; Varaschin & Alessi, 2008).

Data in the literature show a low prevalence or absence of cases of B. coridifolia poisoning in goats (Barbosa et al., 1994; Pedroso et al., 2007; Tokarnia et al., 2012; Rosa et al., 2013), contrary to what happens with cattle and sheep, which seem to be more susceptible to this poisoning (Tokarnia et al., 2012). Due to the lack of cases described in goats, the register of cases of the Specialized Diagnostic Service INTA-Salta has been taken as a reference. According to these data, poisoning outbreaks occurred in extensive systems of mixed flocks (sheep and goats) grazing in areas contaminated by this plant when forage supply is scarce. In these cases, deaths occurred in both goats and sheep.

CONCLUSIONS

The susceptibility of goats to B. coridifolia poisoning was demonstrated even using the toxic dose studied in sheep, and therefore a toxic dose of 5 g/kg of dry matter could be confirmed for this species. Thus, it was determined that the toxic dose for goats is higher than for cattle. The clinicopathological findings of B. coridifolia poisoning in goats were also characterized and although there are some differences, the clinical picture is similar to that of cattle and sheep reported by other authors.

ACKNOWLEDGMENTS

This study was supported by grants from Consejo de Investigación de la Universidad Católica de Salta (Proy. Res. 698/2020) and Instituto Nacional de Tecnología Agropecuaria.

REFERENCES

Barbosa, J. D., Armién, A. G. & Tokarnia, C. H. (1994). Intoxicação experimental por Baccharis megapotamica var. weirii (Compositae) em ca- prinos. Pesquisa Veterinária Brasileira, 14, 5-13.

Barros, C. S. L. (1998). Livestock poisoning by Baccharis coridifolia. En T. Garland & A. C. Barr (Eds), Toxic Plant and Other Natural Toxicants (pp. 596-572). CAB International.

Berreta, E. (1996). Malezas de campos sucios: El Mío-Mío. Boletín de Divulgación del INIA, 60, 1-12. https://doi.org/10.4102/jsava.v70i1.753

Budel, J. M. & Duarte, M. R. (2007). Caracteres Morfoanatómicos de Partes Vegetativas aéreas de Baccharis coridifolia DC. (Asteraceae- Astereae). Latin American Journal of Pharmacy, 26 (5), 723-731. http://sedici.unlp.  edu.ar/handle/10915/7539

Döbereiner, J., Resende, A. M. L. & Tokarnia, C. H. (1976). Intoxicação experimental por Baccharis coridifolia em coelhos. Pesquisa Agropecuária Brasileira, 11 (9), 27-35.

Flores, C., Houssay, B. (1917). Estudios sobre el mio-mio, nio o romerillo (Baccharis coridifolia D.C.). Revista del Instituto Bacteriológico de Buenos Aires, 1, 59-100.

Lozano, M. C. & Díaz, G. J. (2006). Tricotecenos macrociclicos: toxinas hasta ahora no reconocidas en Colombia. Revista Colombiana de Ciencias Pecuaria. 19 (1), 46-60.

Panziera, W., Gonçalves, M. A., Lorenzett, M. P., Damboriarena, P., Argenta, F. F., Laisse, J. M., Pavarini, S. P. & Driemeier, D. (2015). Intoxicação natural por Baccharis megapotamica var. weirii em caprinos. Pesquisa Veterinária Brasileira35(4), 360-364. https:// doi.org/10.1590/S0100-736X2015000400008

Pedroso, P. M. O., Pescador, C. A., Oliveira, E. C.,  Sonne, L., Bandarra, P. M., Raymundo, D. L. & Driemeier, D. (2007). Intoxicações naturais por plantas em ruminantes diagnosticadas no Setor de Patologia Veterinária da UFRGS no período de 1996-2005. Acta Scientiae Veterinariae, 35(2), 213-218.

Perusia, O. R. & Rodríguez, R. (2004). Plantas toxicas y micotoxinas. Manual Divulgación Técnica Argentina, 4, 9-13.

Radostits, O. M., Gay, C. C., Blood, D. C. & Hinchcliff K. W. (2002). Intoxicación por tricotecenos. En Medicina Veterinaria: tratado de las enfermedades del ganado bovino, ovino, porcino, caprino y equino (pp.2017-2019). Mc Graw-Hill-Interamericana.

Riet-Correa, F. & Méndez, M. C. (2007). Intoxicações por plantas e micotoxinas. En F. Riet-Correa, A. L Schild, Lemos, R. A. & Borges, J. R. (Eds.), Doenças de ruminantes e eqüídeos. Pallotti.

Rissi, D. R., Rech, R. R., Fighera, R. A., Cagnini, Q., Kommers, G. D. & Barros, C. S. L. (2005). Intoxicação espontânea por Baccharis coridifolia em bovinos. Pesquisa Veterinária Brasileira, 25, 111-114. https://doi.org/10.1590/  S0100-736X2005000200008

Rosa, F. B., Caprioli, R. A., Silva, T. M., Galiza, G. J. N., Barros, C. S. L., Irigoyen, L. F., Fighera, R. A. & Kommers, G. D. (2013). Doenças de caprinos diagnosticadas na região central do Rio Grande do Sul: 114 casos. Pesquisa Veterinária Brasileira, 33, 199-204. https://doi.org/10.1590/ S0100-736X2013000200011

Rozza, D. B., Raymundo, D. L., Corrêa,A. M. R., Leal, J., Seitz, A. L., Driemeier, D. & Colodel, E. M. (2006). Intoxicação espontânea por Baccharis coridifolia (Compositae) em ovinos. Pesquisa Veterinária Brasileira, 26(1), 21-25. https://doi. org/10.1590/S0100-736X2006000100005

Tokarnia, C. H. & Döbereiner, J. (1975). Intoxicação experimental em bovinos por “mio-mio”, Baccharis coridifolia. Pesquisa Agropecuaria Brasileira, 10, 79-97.

Tokarnia, C. H. & Döbereiner, J. (1976). Intoxicação experimental em ovinos por “mio-mio”, Baccharis coridifolia. Pesquisa Agropecuaria Brasileira, 11, 19-26.

Tokarnia, C. H., Farias Brito, M., Barbosa J. D., Vargas Peixoto P. & Döbereiner J. (2012). Plantas que afectam esencialmente o trato digestório: Bacccharis coridifolia. En Plantas tóxicas do Brasil para animais de produção (pp. 95-102). Helianthus.

Varaschin, M. S & Alessi, A. C. (2008). Histopathological examination of lymphoid organs in cattle and mice experimentally poisoned by Baccharis coridifolia: Immunohistochemical characterization of B and T lymphocytes. Brazilian Journal of Veterinary Research and Animal Science, 45(4), 277-283. https://doi.org/10.11606/ issn.1678-4456.bjvras.2008.26686

Varaschin, M. S., Barros, C. S. L. & Jarvis, B. B. (1998). Intoxicação experimental por Baccharis coridifolia (Compositae) em bovinos. Pesquisa Veterinária Brasileira, 18(2), 69-74. https://doi. org/10.1590/S0100-736X1998000200006